esonic@esonicimage.com

横版logo.jpg



ePascal东风80通过专利的纯软件波束成形和扫描转换技术,消除了传统的硬件负担。无论是宽带宽能力、超高速采集(帧频可达到25000帧/秒)和数据传输速度(可达到10GB/秒),还是高端图形图像处理器(GPU大算力)的首次应用,都为医生们提供了前所未有的诊断信心。这些技术共同作用下,使得图像对比度分辨率显著提升,细节展现得淋漓尽致。其中ePascal东风80融合了RTSWE?实时E成像、QSOS?声速定量成像、ATITM高级声衰减成像、超微血流成像,平面波全息多普勒以及智能穿刺引导等超声领域多项前沿创新技术。


可满足超声科、体检科、介入科、妇产科及其他临床科室的全身应用需求,以其卓越的性能和创新的超声影像技术,在医疗领域引起了广泛关注。



临床图像
3D RTSWE 三维剪切波硬度定量成像
eTriplex 弹性三同步成像
QVisco 粘弹性定量成像
iPlane Vascular 微视血流显像-小鼠大脑皮层
iPlane Vascular 微视血流显像
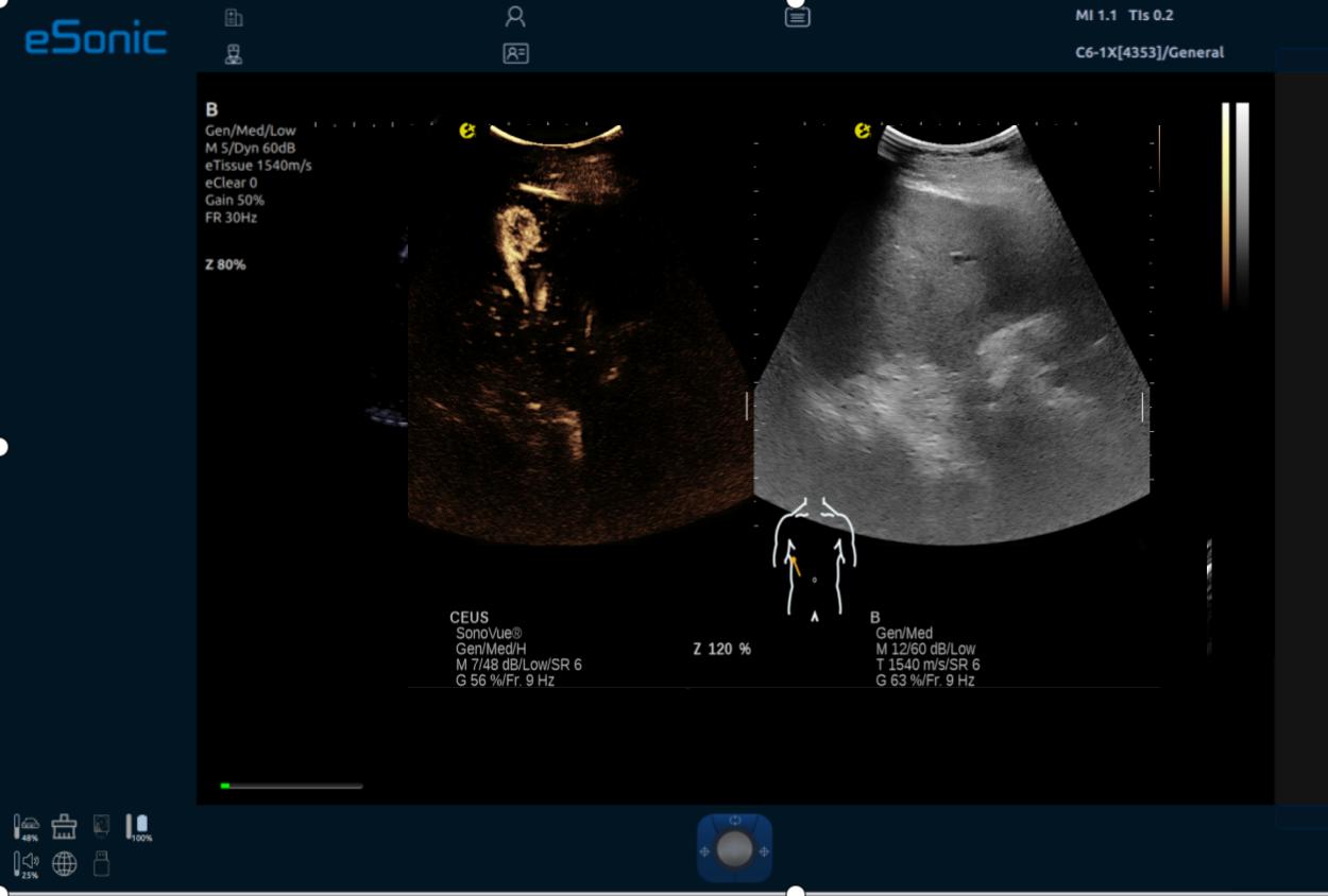
iPlane Contrast 超快速造影成像
AI Contrast 造影智能定量分析软件
QSOS(speed of sound)声速定量成像

?:400-0628060 ?:esonic@esonicimage.com

:新航娱乐影像-ESI

COPYRIGHT? 新航娱乐影像  京ICP备2022002181号-1

药品医疗器械互联网信息服务备案:(京)网药械信息备字(2025)第 00057 号