esonic@esonicimage.com

横版logo - 副本.jpg


卒中解决方案

一、产品适应症及临床意义

脑卒中在全球范围内严重威胁老年人健康,是老年人群死亡和残疾的首要病因,全球约 1400 万人受其影响。在我国,患者数量达 1242 万,年死亡人数 100 - 200 万,且以 8.7%的年增长率递增,居全国致死、致残疾病之首。随着老龄化加剧,老年人口持续增长,预计 2050 年超 4 亿,老年脑卒中发病率将大幅上升。缺血性脑卒中在脑卒中患者中占比 80% - 85%,多由颈动脉狭窄或闭塞引发脑组织缺血坏死所致。动脉粥样硬化斑块是关键因素,其在动脉内膜和中膜内层形成脂质为主的粥样物,并伴有平滑肌细胞和纤维组织增生。斑块内新生血管会加剧粥样硬化,易引发斑块内出血、破裂及相关并发症,增加斑块易损性,与缺血性脑卒中紧密相连。因此,评估斑块稳定性对预防脑卒中极为关键。

新航娱乐医疗的脑卒中解决方案特种技术,专为筛查缺血性脑卒中高危个体研发,可精准量化斑块稳定性与易损性,助力临床早发现高危患者,实现精准防控。

二、新航娱乐脑卒中解决方案特种技术

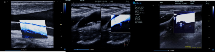
 (一)RTSWE 实时剪切波弹性成像技术

RTSWE 技术源于对剪切波的创新研究,通过 MultiPush?超声触诊技术产生振动生成剪切波,OmniSound?平台提升帧频捕获信息并测量杨氏模量。其优势突出:

image.png


? 可视化,对颈动脉内膜和斑块实时弹性成像,彩色编码显示硬度,便于医生区分斑块类型。

? 定量测量方面,分析结果以kPam/s为单位测量颈动脉相关部位杨氏模量,毫米级分辨率显示微小病变,提供 20 余种参数综合评估斑块稳定性和血管硬化因测量取样范围可极度小甚至对于颈动脉内中膜硬度可定量测量,引发不同视角评价极早期动脉硬化评估,实属科研利器。

? 采用马赫圆锥脉冲激励技术,无需按压,减少检查者影响,帧频高、操作简便、耗时短。

RTSWE 是全球唯一的实时全幅全定量剪切波弹性成像系统,OmniSound?平台采集与显示帧频国际领先,对颈动脉结构定量分析和脑卒中早期预防意义重大。

RawVisionTM Plaque技术(RVP

RVP 是世界领先的颈动脉斑块自动定量分析成像模式,依托 RawVisionTM原数平台强大的原始射频数据采集与分析能力。其优势显著:

? 可视化呈现方面,能分析斑块在特定条件下内部纹理变化,生成可视化参数成像。医生可依据颜色辨别易损与稳定斑块,并进行定量测量。

image.png

? 定量评估上,提供 CNTENTNRTCPT 等指标和参数,为监测老年颈动脉斑块风险提供客观准确依据。 

? 借助 AI 自动分析,可快速筛选诊断,提升脑卒中筛查效率,有望重塑易损斑块临床诊断流程。 

? 具备技术升级潜力,支持高端科研,能挖掘更多诊断参数,满足临床需求。 

相比传统超声弹性成像技术,RVP 利用颈动脉搏动采集数据,避免了操作者施压等主观因素干扰,数据处理更精准,结果重复性佳,不受操作者差异影响。

mFlowTM 超微血流显像技术 

mFlowTM 超微血流技术在小型机器上率先实现微米级细小血管识别与低速血流捕捉,以往仅高端台式机具备此功能。该技术专注于颈动脉粥样硬化斑块内血流评估,无需造影剂,具有高分辨率、低运动伪像和高帧频成像特点。其优势如下:

image.png

? 运用 3D 壁滤波技术智能分析信号,可探测常规超声难以捕捉的低速血流,灵敏度高。

? 依据 Staub 标准对检查结果分级,直观展示斑块内新生血管血流,为斑块稳定性评估提供新指标。

? 基于多普勒原理,进行频谱测量并可进行VI指数测量,定量评估斑块内新生血管占比。

? 相较超声造影成像,无创便捷,为颈动脉易损斑块评估开辟新途径。

iPlane Vascular 平面波超微细血流显像技术

iPlane Vascular 技术借助 OmniSound?平面波和 3D 壁滤波技术突破,提升超声多普勒分辨率并具备定量测量能力。优势如下:

image.png

? 显著提高对低速血流的敏感度,实现高分辨率、高帧频实时微血流成像(分辨率 30 微米、帧频 150 /s),动态显示斑块内新生血管血流。

? 基于多普勒原理进行频谱测量与 VI 指数计算,定量评估斑块内新生血管。

? 成像质量接近造影效果且无需造影剂,无创简便,增强诊断准确性,适用于细微血流变化场景。

QPWV 彩色脉搏波传导速度定量技术

QPWV 技术是新航娱乐医疗的极速脉搏波速度测量技术,对脑卒中诊疗优势明显:

image.png

? 可进行动脉壁运动速度 - 时间彩色成像,直接测量单点脉搏波传导速度及相关参数(如 BSES 时的速度及标准差)。

? 能在血管内中膜增厚前的内皮功能不全阶段检测异常,对早期动脉硬化评估极具临床价值。

? 操作简单直接,无需附加设备,影响因素少,检测快速、重复性和稳定性高。

)独有超声造影 + 技术 

新航娱乐医疗的造影 + 模式(CCI)利用脉冲反相、高质调幅技术与超宽频带探头,基于 iPlane?平台优化成像。优势包括:

image.png

? 实时 MVI 微血管造影可显示微循环,对斑块内微小血管单个气泡成像,强化血管轮廓显示血流轨迹,对斑块内新生血管评估和脑卒中预防意义重大。

? 对造影剂敏感度高,时空分辨率优,造影图像清晰,有效评估新生血管。

? 兼容多种造影剂,参数可调,支持动态存储与能量调节,操作简便。

)其他超声技术集成

新航娱乐超声系统融合 e IMT 内中膜自动测量、超高频高分辨线阵探头、TCCD、心脏彩色多普勒超声等高端台式彩超功能,数据处理能力强,大幅提升人体组织显示分辨率。优势体现为:

? e IMT 内中膜自动测量可自动检测厚度,智能匹配与包络,自动设置取样框,实时或冻结状态下均可测量前壁及后壁厚度,提供多组数值,减少人工误差,便捷准确。

image.png

超高频探头能清晰显示颈动脉内中膜及斑块细节,辅助判断斑块易损性。

? TCCD 技术可评估脑动脉硬化与狭窄程度,全面预警脑卒中风险。

? 心脏彩色多普勒超声有助于判断脑卒中心源性风险因素,完善诊断信息。

三、临床应用前景

新航娱乐医疗的脑卒中解决方案超声特种技术在临床应用中具有广阔前景其无创、无辐射、便捷、即刻出结果的特点,使其成为脑卒中高危个体筛查的理想工具。其中便携超声系统的设计,使其能够适应社区筛查、床旁检查等各类场景,极大地方便了临床检查需求。通过定量评估斑块稳定性、易损性及斑块内新生血管情况,该技术可为临床提供更精准的诊断依据,助力实现缺血性脑卒中的早期预防和干预,降低老年人脑血管意外发生率,改善患者预后,具有重要的临床推广价值。

 















?:400-0628060 ?:esonic@esonicimage.com

:新航娱乐影像-ESI

COPYRIGHT? 新航娱乐影像  京ICP备2022002181号-1

药品医疗器械互联网信息服务备案:(京)网药械信息备字(2025)第 00057 号